
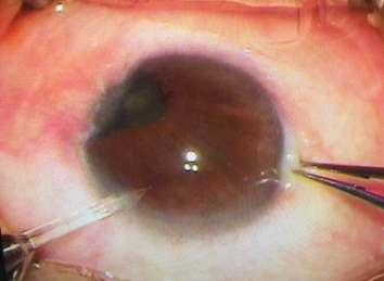
本网讯(潘慧玲/文/图)10月10日,新昌县澄潭镇大阳村丁月燕阿姨今日来到新昌县人民医院眼科就诊。二十年前,丁阿姨左眼不慎被钉子弹伤,导致眼珠子移位,看不清东西。曾经手术过,但是视力情况没有明显改善。现在丁阿姨左眼看东西越来越不清楚,只能看到眼前的几个手指头,人民医院眼科主任方健医师接诊后,发现丁阿姨患有“外伤性白内障”“瞳孔移位”,随即让丁阿姨住院手术治疗。
10月12日,丁阿姨在局麻下做了“左眼白内障超乳手术联合瞳孔成行术”,手术由方健医师主刀,吕红医师做助手,手术进展顺利。丁阿姨术后恢复状况良好,视力从“眼前指数”达到“4.4”。
什么叫外伤性白内障?
丁阿姨是因为外伤导致的“瞳孔移位”,“外伤性白内障”,所以左眼只能看到眼前的几个手指头。所谓外伤性白内障,指直接或间接性机械损伤作用于晶状体,使晶状体产生混浊性改变。透明的晶状体受伤后,不论是何种伤害,晶状体囊和皮质遭受破坏,均可因房水进入晶状体内而引起上皮水肿,也可因组织损伤,变性或瘢痕发生混浊。